犬猫は人間に比べると、とてもよく吐く生き物ですが、その原因は多岐にわたります。
お腹が空きすぎて吐くこともあれば、胃腸炎など胃腸障害、異物閉塞などによる機械的(物理的にふさがっている)な理由などで吐くこともあります。
これらは様々な検査方法、内視鏡検査や超音波検査などで鑑別することが可能ですが、それらの検査法の1つにX線画像と組み合わせた「バリウム造影検査」があります。
今回はそのバリウム造影検査とはどのような検査か、どのような疾患が適応になるか、当院での実際の症例をご紹介しながら解説させていただきます。
「バリウム」とは?
そもそも「バリウム」とは何でしょうか?

図1. 当院で使用している造影剤。
(バリトップゾル150、カイゲンファーマ株式会社)
バリウム造影剤の主成分は硫酸バリウムという重晶石が主成分となっており、X線吸収が多く(=X線画像上“白”が強くなる)、また体にほとんど吸収されずに体外に排出されるという特徴を持ちます。
これらの特性を利用することで、X線画像撮影を行った際に消化管の内腔を造影して見えやすくしながらも、それが吸収されないために排泄される(便中に排泄される)まで消化管全体を造影することが可能となります。

図2. 検査後に消化されないバリウムが便中に出てきている様子。白っぽい便になる。
バリウム検査が適用となるのは?
動物が「吐く」という行為は大きく分けて「嘔吐」と「吐出」の2つに分けられます。
簡単にいうと「嘔吐」は胃内のものを能動的に吐きだすことを指し、「吐出」は食道のものが受動的に排出されることを指します。
いずれの状態も機械的(物理的に何かが邪魔している状態)または機能的(動きの低下や炎症などで機能が落ちた状態)な異常によって起こりえます。
バリウム造影検査は上記の両方に有用ですが、この検査だけでなく超音波検査などその他の検査手法と組み合わせて鑑別診断をしていくうえで、特に食道領域では有用となります。

図3. 食道の造影前(左)およびバリウム造影実施後(右)のX線画像。
機械的に閉塞している場合はその異物や腫瘍などの周りを避けるように造影剤が染まるために鑑別可能(造影が起こらない箇所を「造影欠損」部といいます)、また時間経過毎にX線撮影を行う事で機能的に動きが遅くなっている状態(排出遅延)の鑑別も可能です。

図4. バリウム検査で造影欠損しているX線画像(ゴムボール)。
バリウム造影検査のやり方は?
ではバリウム造影検査のやり方を見てみましょう。
大前提として、正確な読影結果を見るためには12〜24時間の絶食が望ましいです。
手順1 バリウム造影剤を飲ませます。
この検査は、バリウムの特性を利用してX線画像(=“レントゲン画像”)上で消化管を造影する(不透過性を亢進、つまり画像上“白く”して見やすくする)検査です。
そのため、消化管内にバリウムを広く行きわたらせる必要があります。

図5. バリウム造影剤の準備の様子。
バリウムの投与量としては以下の量になり、多くの量が必要になります。
- 小型犬/中型犬:体重(kg)あたり8~12ml
- 大型犬:体重(kg)あたり5~7ml
- 猫:体重(kg)あたり12~20ml
そのため、直接投薬も可能ですが、検査に影響しないごはんに混ぜたり、カテーテルを利用したりすることで、なるべく不快感を与えないように飲ませてあげます。
手順2 X線画像を撮影します。
バリウム造影剤を飲ませ終わった直後に、まず1回目のX線画像を伏せ、仰向け、右下、左下の4方向を撮影します。
これは造影剤の通過が早い食道を確認するのと同時に、造影剤を胃内に行き渡らせる役割があります。
それ以降は5分、15分、30分、45分、1時間、2時間、3時間、それ以降は胃から排泄されるまでを左下および伏せ(DV像)を撮影します。

図6. 時間経過による画像の変化。胃から結腸まで造影剤が進んでいる(流出遅延あり)。
バリウムの胃からの完全排出は1〜4時間で行われます(バリウム造影剤のみの場合、固形食と混ぜた場合は7〜15時間かかる)。
そのため、胃内に4時間以上のバリウム造影剤のうっ滞がある場合、胃からの流出遅延を疑います(上記の図6)。
ただ、流出遅延は必ずしも病的要因だけではなく、精神的要因(不安・恐怖・騒音などによる交感神経刺激)によっても引き起こされるために注意が必要です。
これらを駆使して閉塞所見(上記の図4など)や流出遅延(上記の図6)、胃に滞留した異物(以下の図7)などを検出していきます。

図7. 造影された胃内異物(毛球に造影剤がまとわりついて造影増強効果が残る)。
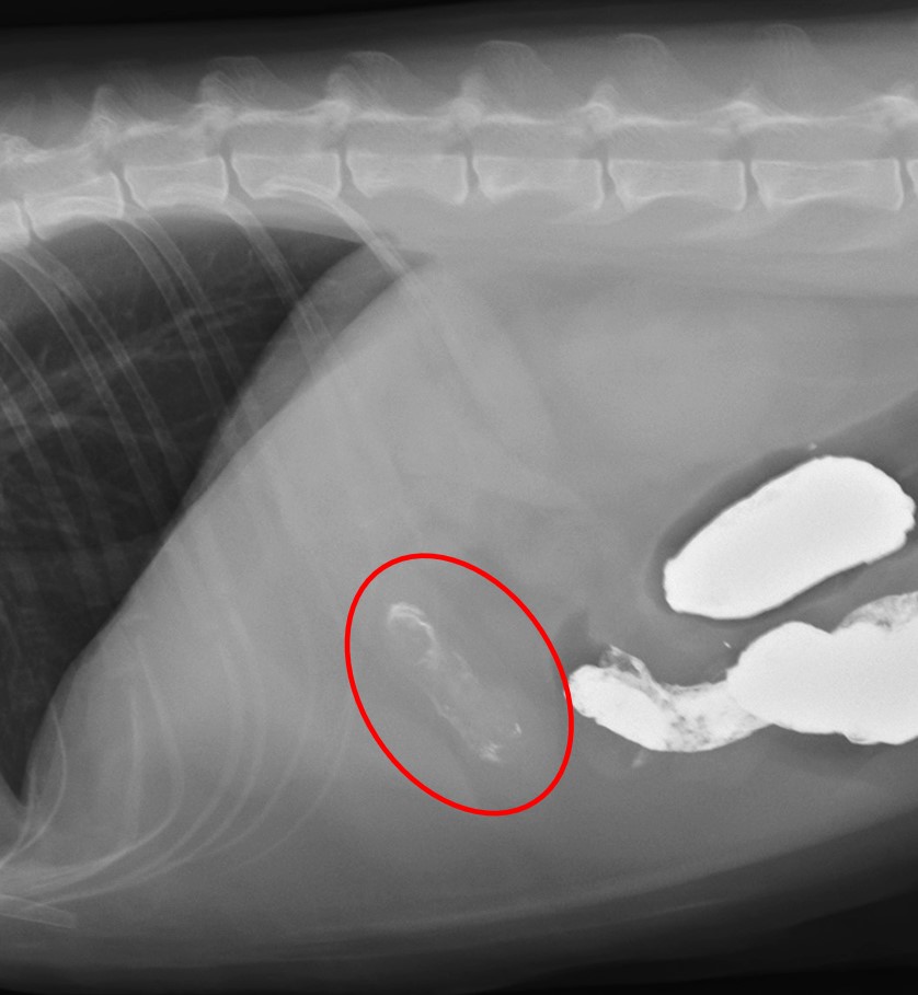
1つ注意点としては、ネコちゃんのバリウム造影を実施する場合、食道内に以下のような造影増強が見受けられることがあります。

図8. 猫の食道に見受けられる“Herringbone Sign”。
これは“herring bone(ヘリンボーン、直訳:ニシンの骨)”模様といわれ、ネコちゃんの食道の構造状、このように造影増強される正常所見であり、閉塞と見間違えられることもあるので注意が必要です。
最後に
バリウム造影検査は、特に食道領域において、異物閉塞や構造異常を見分けるためのとても有用な検査となります。
単独で利用するのではなく、超音波などと組み合わせて総合的に判断する必要がありますが、それらでは見つけにくいものを見つけられる、うまく利用すれば有用な検査となります。
時間がかかってしまったり、飲みにくい造影剤を飲ませなければならなかったり、デメリットもありますので、何か飲んでしまったかも?詰まっているかも?等あれば一度診察にてご相談いただき、適切な検査法を探していきましょう。
よくある質問
Q.バリウム検査にリスクや副作用はありますか?
A. バリウム検査は安全性の高い検査ですが、いくつか注意点もあります。
元気がなく飲み込む力が弱い場合、バリウムが気管に入ってしまう「誤嚥」のリスクがあり、肺炎を引き起こす可能性があります。
また、バリウムは便を固める性質があるため、検査後に便秘気味になる場合があるので注意しましょう。
Q.バリウム検査の後に自宅で気をつけることはありますか?
A.検査後2〜3日は、バリウムが混ざった白っぽい便が出ます。
バリウムの影響で便が硬くなりやすいため、普段より水分を多めに摂らせてあげてください。
また、検査後は普段通りの食事やお水が与えられるか獣医師の指示に従ってください。
Q.バリウム検査ができない場合はありますか?
A. はい、あります。
注意が必要なのは、異物などで消化管に穴が開いている「消化管穿孔」が疑われるケースです。
バリウムがお腹の中に漏れると重篤な腹膜炎を引き起こす危険があるため、この場合は禁忌となります。
その際は、体に吸収される別の造影剤を使用するなど他の方法を検討します。
獣医師監修
